
Συλλογή δείγματος : φαρυγγικό επίχρισμα
- Κατά προτίμηση εντός 5 ημερών από την έναρξη συμπτωμάτων και πριν τη χορήγηση αντιβιοτικών
- Με αποστειρωμένο βαμβακοφόρο στειλεό, ο οποίος μετά τη λήψη τοποθετείται σε αποστειρωμένο σωληνάριο ή υλικό μεταφοράς.
https://img.medscape.com/pi/meds/ckb/44/14144.mp4
Ποιά η φυσιολογική χλωρίδα του στοματοφάρυγγα και ποιά τα παθογόνα μικρόβια που αναζητούμε;
Μέλη φυσιολογικής χλωρίδας
- Συχνά (>50% του υγιούς γενικού πληθυσμού): στρεπτόκοκκοι του στόματος (πρασινίζοντες), είδη Neisseria (όχι τα παθογόνα), Branhamella, Corynebacteria, Bacteroides, αναερόβιοι κόκκοι (π.χ. Veillonella), fusobacteria, Candida albicans, Streptococcus mutans, Haemophilus influenzae
- Σπανιότερα (< 10% του υγιούς γενικού πληθυσμού): Streptococcus pyogenes, Streptococcus pneumoniae, Neisseria meningitidis.
- Σπάνια (< 1% του υγιούς γενικού πληθυσμού) C diphtheriae, Klebsiella pneumoniae (+/- Pseudomonas, Escherichia coli, και C albicans [ειδικά μετά από θεραπεία με αντιβιοτικά ευρέος φάσματος.
ΑΙΤΙΑ ΦΑΡΥΓΓΙΤΙΔΑΣ / ΦΑΡΥΓΓΟΑΜΥΓΔΑΛΙΤΙΔΑΣ
Το συχνότερο αίτιο των λοιμώξεων του ανώτερου αναπνευστικού (ως και 70% αναλόγως ηλικίας) είναι οι ΙΟΙ όπως οι Rhino- και Corona-ιοί, οι ιοί Parainfluenza, οι ιοί της γρίππης (Influenza), Adenovirus, respiratory syncytial virus (RSV)Herpes simplex virus κλπ. Με φαρυγγοαμυγδαλίτιδα εκδηλώνεται και η (συστηματική) λοίμωξη από τον ιό Epstein – Barr (EBV), γνωστή και ως λοιμώδης μονοπυρήνωση και η λοίμωξη από κυτταρομεγαλοϊό (CMV).
Το σημαντικότερο και συχνότερο αίτιο ΒΑΚΤΗΡΙΑΚΗΣ φαρυγγοαμυγδαλίτιδας είναι ο Streptococcus pyogenes, γνωστός και ως β-αιμολυτικός στρεπτόκοκκος της ομάδας Α κατά Lancefield (GAS / GABHS). Άλλα σπανιότερα βακτηριακά αίτια φαρυγγοαμυγδαλίτιδας είναι : η Neisseria gonorrhoeae (μετά από στοματογεννητική σεξουαλική επαφή), το Mycoplasma pneumoniae, β-αιμολυτικοί στρεπτόκοκκοι των ομάδων C, G κατά Lancefield, το Arcanobacterium hemolyticum και το Corynebacterium diphtheriae (σε μη εμβολιασμένα για διφεθρίτιδα άτομα).
Τη μετάδοση (που γίνεται με αναπνευστικά σταγονίδια) ευνοεί ο συγχρωτισμός.

ΕΡΓΑΣΤΗΡΙΑΚΗ ΔΙΑΓΝΩΣΗ – ΜΕΘΟΔΟΙ
1.Χρώση Gram: ΔΕΝ είναι χρήσιμη στη διάγνωση και δεν γίνεται (εκτός επί υποψίας κυνάγχης του Ludwig).
2. Καλλιέργεια
Ποιά μικρόβια αναζητούνται ;
- Streptococcus pyogenes ή β-αιμολυτικός στρεπτόκοκκος της ομάδας Α κατά Lancefield
- σημαντικότατο βακτηριακό αίτιο φαρυγγοαμυγδαλίτιδας, ιδιαίτερα συχνό σε παιδιά σχολικής ηλικίας.
- Haemophilus influenzae
- ο Hib αίτιο επιγλωττίτιδας στα μικρά παιδιά (ανεμβολίαστα για Hib). Μη τυποποιήσιμοι Haemophilus influenzae (χωρίς έλυτρο) μπορεί να βρεθούν στη φ.χ. παιδιών και ενηλίκων.
- Neisseria gonorrhoeae
- σεξουαλικώς μεταδιδόμενο παθογόνο, προκαλεί φαρυγγίτιδα μετά από στοματογεννητικές επαφές, αναζητείται μόνο όταν αναμένεται κατόπιν επικοινωνίας με τον κλινικό γιατρό.
- Corynebacterium diphtheriae εάν υπάρχει υποψία διφθερίτιδας
- Staphylococcus aureus
- αναζητείται για διαπίστωση φορείας του μικροβίου (συνήθως καλλιεργείται επίχρισμα από την πρόσθια περιοχή των ρωθώνων).

Ποιά καλλιεργητικά υλικά χρησιμοποιούνται;
- Αιματούχο άγαρ ή Columbia CN άγαρ
- Σοκολατόχρωμο άγαρ
- (Sabouraud άγαρ) για μύκητες
- Ειδικές περιπτώσεις : εάν υπάρχει κλινική υποψία διφθερίτιδας ενοφθαλμίζεται και Tinsdale (υλικό με άλατα τελλουρίου)


Η καλλιέργεια επιστρώνεται με σκοπό την παραγωγή απομονωμένων αποικιών. Στο σημείο πυκνότερης ανάπτυξης (αρχική επίστρωση) τοποθετείται δισκίο βακιτρακίνης 0.04U που βοηθά στην ταυτοποίηση του β-αιμολυτικού στρεπτοκόκκου ομάδας Α δηλαδή του Streptococcus pyogenes.
Η ταυτοποίηση επιβεβαιώνεται με συγκολλητινοαντίδραση όπου ανιχνεύεται το αντιγόνο Α σε εναιώρημα αποικιών του μικροβίου με αντίδραση με ειδικούς αντιοορούς
3. Η διάγνωση της στρεπτοκοκκικής φαρυγγίτιδας μπορεί να γίνει και με δοκιμασία ταχείας ανίχνευσης αντιγόνων (Streptest) συνήθως με ανοσοχρωματογραφία. Θετικό αποτέλεσμα επιβεβαιώνει την κλινική υποψία. Επί αρνητικού αποτελέσματος πρέπει να ακολουθήσει καλλιέργεια φαρυγγικού επιχρίσματος (γιατί η ταχεία ανίχνευση δεν έχει 100% ευαισθησία).

4.
Επί υποψίας λοιμώδους μονοπυρήνωσης γίνονται οι εξής εξετάσεις :

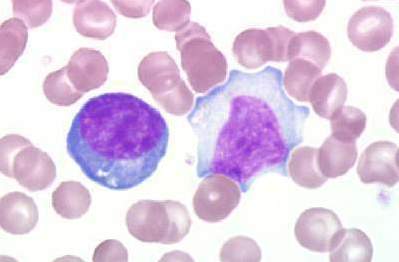
- Γενική εξέταση αίματος (αριθμός και τύπος λευκών αιμοσφαιρίων)
- Ευρήματα : αυξημένα λευκά, λεμφοκυτταρικός τύπος, διεγερμένα λεμφοκύτταρα
- Αναζήτηση ετερόφιλων αντισωμάτων στο ορό του αίματος (Monotest, Paul – Bunnell test)
- Αναζήτηση ειδικών αντισωμάτων έναντι του EBV στον ορό του αίματος (Anti-VCA IgM)
Εικόνες
https://i.pinimg.com/originals/9c/6d/76/9c6d766fc4b7dfd6416042c915f80a3e.jpg
https://s3.amazonaws.com/static.wd7.us/a/ac/Atypical_lcyte.jpg
